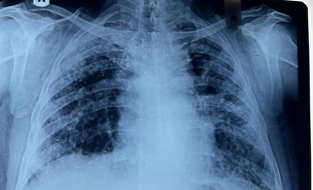
The Tshiamiso Trust is a multi-billion-rand fund set up to compensate miners with tuberculosis (TB) or silicosis, or their families. It was a result of the historic 2018 landmark silicosis settlement....
Already have an account? Sign in here
The definitive guide to mining operations and excellence.
Established in 1909 by Herbert Hoover, Mining Magazine provides comprehensive technical insight into mining operations. It aims to inform and support mine management in decision-making regarding mining techniques, technologies, workforce, logistics, and supply chains.



